3shape :
Un esprit ouvert à toute technologie !
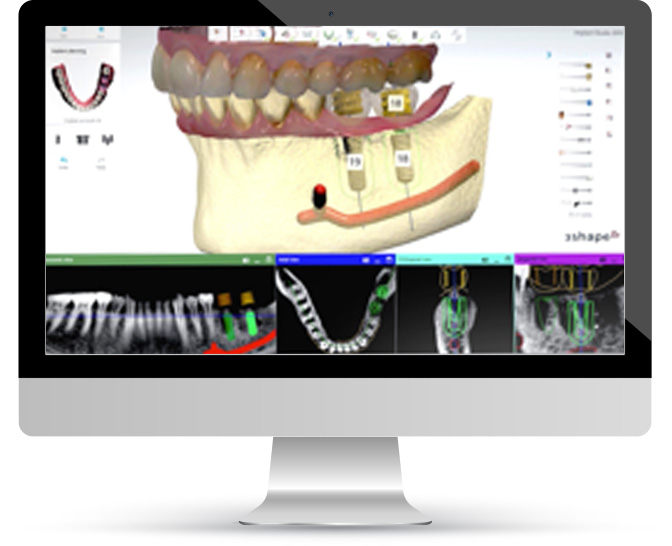
Le patient numérique est devenu réalité. En combinant un logiciel de conception avec des scans, des images du patient, la numérisation intra-orale et la numérisation de modèles, nous avons la possibilité d'établir un diagnostic exhaustif, d’établir un plan de traitement et de garantir des résultats prévisibles.

L’union de
l’art &
la technologie
Notre équipe, secondée par une technologie émergente, fait la différence pour l’obtention d’une qualité élevée. La précision assurée grâce à l’ère numérique fait dorénavant partie intégrante de TECH-ALLIAGE.
Desktop Compact
technologie de soudage au laser.
Technologie de soudage au laser, un condensé de puissance permettant des soudures résistantes tout en réalisant des assemblages fins et délicats.

Bego
La coulée intelligente avec interface de données pour une précision de coulée des métaux !
Processus avancé pour des coulées automatiques de différents alliages, résultats constants sans porosité. Détection de l’instant de coulée à la température exacte recommandée par le fabricant des métaux.

L'usinage!
Partie intégrante de notre quotidien
Demeurer à la fine pointe de la technologie n’est pas une option, mais une nécessité dans le monde d’aujourd’hui. Alliant précision et flexibilité, notre laboratoire produit une grande variété de prothèses grâce à cette technologie.
Imprimante 3D
Fabrication de modèles à partir d'empreintes numériques
Nous pouvons recevoir vos fichiers STL pour l’impression de vos modèles.
